近日,中陕核化二一五医院创伤骨科、小儿骨科专业潘建宏主任、梁英林副主任团队,成功为一位91岁超高龄、身患前列腺癌、高血压、糖尿病、脑梗死后遗症等多种严重基础疾病,且刚从呼吸衰竭中抢救回来的老人,实施了高风险的股骨近端粉碎性骨折手术。这场跨越ICU与手术室的极限救治,历时多日,最终帮助老人转危为安。这不仅是对现代医学综合救治能力的严峻考验,更是一场医患同心、共渡艰险的生命接力。

病情如山:跌倒骨折,又遇呼吸衰竭
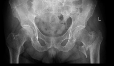
患者张爷爷已逾九旬,基础疾病错综复杂:前列腺癌病史3年、高血压20年、糖尿病30年,10天前因脑梗死导致左侧肢体活动不便。然而近日,厄运再次降临,他在家如厕时不慎跌倒,造成“左侧股骨转子间粉碎型骨折”,被紧急送至我院。
入院时,老人情况十分危急:除骨折外,还存在Ⅰ型呼吸衰竭、慢性支气管炎急性加重、低钠血症及贫血。入院后其呼吸功能进一步恶化,随即被转入ICU,进行气管插管、呼吸机辅助呼吸。经过ICU团队5天昼夜不停的全力救治,张爷爷的呼吸功能终于显著改善,成功拔管,脱离了生命危险。
抉择时刻:手术与否,关乎生存质量

闯过呼吸衰竭的第一关后,另一个严峻问题摆在面前:左髋部粉碎性骨折带来的剧痛与长期卧床风险,对于这位刚从ICU转出的老人而言,极易引发肺部感染、血栓、褥疮等严重并发症,可能导致前功尽弃。
手术治疗骨折是避免长期卧床、争取康复机会的唯一途径,但手术与麻醉对一位刚脱离呼吸机、心脑血管功能极不稳定的超高龄患者来说,风险极高。面对这道几乎无解的难题,张爷爷的家属在充分了解所有风险后,坚定表示:“我们理解每一步都风险巨大,但更不忍心看老人一直痛苦。请医院帮我们再拼一次!”这份以生命相托的信任,让医疗团队倍感责任重大。
极限协作:多学科护航,40分钟完成关键手术
面对超高龄、复杂基础疾病叠加急性危重的极限挑战,医院迅速启动多学科协作机制。创伤骨科、小儿骨科专业联合手术麻醉科、呼吸内科、重症医学科、心血管内科、内分泌科、神经内科、肿瘤内科8个科室的专家进行MDT紧急联合会诊,共同制定了详细周全的手术方案。
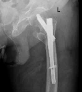
ICU与呼吸内科团队确保患者拔管后呼吸功能稳定;心血管内科、内分泌科精准调控血压、血糖至精准范围;神经内科评估脑梗后状态。手术麻醉科量身定制创伤最小、最稳定的个性化麻醉与监测方案,严阵以待可能出现的循环呼吸波动。在此基础上,骨科团队最终决定采用微创的“闭合复位髓内钉内固定术”,力求以最短时间、最小创伤完成固定。

在万全准备下,手术如期展开。术中,多学科团队配合默契,操作精准流畅。仅用时40分钟便成功完成骨折复位与固定,术中出血极少,患者生命体征平稳。这场高风险手术取得了关键性胜利。
康复曙光:老人终展笑颜,家属连声道谢
术后,张爷爷转入监护病房,术后第二日安全拔管后转回普通病房。在医护人员精心照护与康复指导下,老人恢复顺利,未出现严重并发症。目前,老人已能在帮助下端坐,脸上露出了久违的笑容。身体的稳定与疼痛的缓解,极大地改善了他的生活质量。

“我们一家悬着的心终于放下了!感谢医院没有因为我们父亲年纪大、病多就放弃,感谢每一位医护人员的拼命与担当!”家属的诚挚感谢,是对团队最大的鼓励。再过几日便是老人92岁寿辰,衷心祝愿张爷爷安康喜乐,向暖新生。
这场成功的极限救治,是现代医学多学科协作的典范,更是医患之间以生命相托的动人篇章。面对超高龄、复杂基础疾病叠加急性危重的巨大挑战,我院多学科团队以精湛的技艺、周密的协作和敢于担当的医者精神,携手患者家属共闯难关,深刻诠释了“人民至上、生命至上”的崇高理念,彰显了二一五医院在应对急危重症、保障人民健康中的硬核实力与时代温度。