腹痛腹胀、无法进食、不能排便——82岁的王大爷被肠梗阻折磨得奄奄一息。常规保守治疗收效甚微,外科手术又因高龄体弱难以耐受,生命陷入两难。
生命危急时刻,陕西省核工业二一五医院肿瘤外科二病区贺伯伟主任团队全盘考量、另辟蹊径,成功开展院内首例DSA引导下肠梗阻导管置入术,用一根导管微创打通老人的“生命通道”。从入院到出院,仅用十几天,王大爷便重获健康。
一、两难境地:常规治疗无效,手术又扛不住

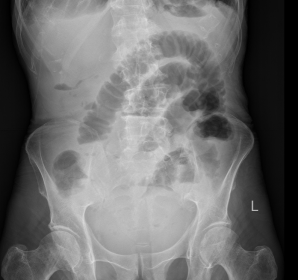
王大爷因腹痛、腹胀一周,伴呕吐、停止排气排便四天,被紧急送入我院肿瘤外科二病区。经影像学检查,王大爷被明确诊断为低位小肠梗阻。这意味着梗阻发生在小肠末端,肠道内容物完全无法下行,大量消化液和气体在肠腔内积聚,肠壁被持续撑胀,随时可能缺血坏死、穿孔,引发致命性腹腔感染。
入院后,贺伯伟主任团队立即为王大爷采取禁食禁水、胃管减压、抑酸等常规保守治疗措施。但几天过去,老人的症状始终没有明显改善,腹胀、腹痛较前加剧。经院内相关科室会诊,认为王大爷年事已高,还合并多种基础疾病及食管肿瘤,整体身体状况较差,根本无法耐受常规外科手术的创伤,同时家属也不愿承担手术风险。
一边是保守治疗无效,一边是手术风险太高——治疗陷入两难。
二、另辟蹊径:一根导管精准解困

针对王大爷的复杂情况,贺伯伟主任多次组织科室讨论,全面评估老人的身体状况和病情严重程度及手术耐受度,最终决定采用一个突破性方案——DSA引导下肠梗阻导管置入术。这是一种微创介入技术,在数字减影血管造影的实时引导下,将一根细长的导管经鼻腔送入肠道,精准抵达梗阻部位上方,直接吸引积聚的肠内容物。既能快速减压,又避免了开刀手术的巨大创伤。
2月11日,手术顺利开展。贺伯伟主任与王志斌副主任医师凭借精湛技术,在DSA引导下精准操作,将导管稳稳置入预定位置。全程严谨把控每一个环节,确保导管位置准确无误。最终,手术顺利完成,老人的“关键通道”被重新打通。
三、重获健康:十几天,从病危到出院

导管开始工作后,积聚的肠内容物被持续引出,腹胀腹痛的症状一天天缓解。老人的肠道功能慢慢恢复,复查腹平片显示梗阻情况明显好转。在护理团队的精心照料下,老人从卧床不起到能下地活动,从禁食禁水到逐渐恢复饮食,一天天好起来。2月24日,王大爷顺利出院,重新回归了正常生活。

康复出院后,王大爷和家人特意为肿瘤外科二病区送来一面锦旗,上面写着:“精湛医术驱病魔,高尚医德暖人心”。在这场与病痛的较量中,肿瘤外科二病区的医护团队用精湛的医术和细致照护,为这位高龄患者解除了病痛,助他重拾健康与希望。
【科普】DSA下肠梗阻导管置入术:肠梗阻诊疗的新选择
肠梗阻是普通外科常见急腹症,病因复杂、病情多变,典型表现为腹痛、腹胀、停止排气排便,严重时可危及生命。DSA下肠梗阻导管置入术,是近年来肠梗阻非手术治疗的重要进展,其核心优势在于:
一是快速减压。导管可精准抵达梗阻部位上方,直接吸引积聚的肠内容物,迅速缓解腹痛、腹胀症状,多数单纯性粘连肠梗阻患者可避免手术创伤。
二是精准定位。通过DSA实时显影,能准确判断梗阻部位和程度,为后续治疗提供科学依据。
三是多功能应用。导管还可用于中药灌洗、肠内营养支持等,降低手术难度,预防再次梗阻。即使对于晚期肿瘤性梗阻失去手术机会的患者,也能有效改善症状、提升生活质量。
预防肠梗阻,日常需注意饮食清淡易消化、保持排便通畅,一旦出现腹痛、腹胀、停止排气排便等症状,务必及时就医。陕西省核工业二一五医院肿瘤外科二病区将以先进技术为支撑,为您的胃肠健康保驾护航。