上周末,陕西人的手机
都被“吃货”给刷屏了

西安市首届菜夹饼大赛
“胡萝卜哥”火了!1分钟内往白吉馍里夹了1759克胡萝卜丝,足足3斤半,前后花4小时吃完,直接拿下冠军。赛后一句:“最近再也不想再看见胡萝卜了”,逗笑全网。

铜川串串争霸赛
紧接着,铜川串串争霸赛又火了。169名吃货同台比拼,有人25分钟撸了374串,有人一根签子上串了1.77公斤食材,冠军直接骑着雅迪电动车回家。
热闹归热闹。但热闹背后,有一件事很少有人提——那些为了冠军拼命的胃,后来怎么样了?
一、2斤胡萝卜丝,差点要了一个年轻人的命

就在西安夹馍比赛后没几天,25岁的李先生效仿冠军吃法,在另一场活动中夹了整整2斤胡萝卜丝,全部吃完,拿下亚军。
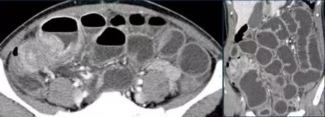
可领奖的开心劲儿还没过,身体先扛不住了。一开始只是肚子胀、总想上厕所,到了夜里,腹痛突然加重,恶心、干呕,却什么也吐不出来,整个人疼得直不起腰。家人将他紧急送医,经腹部CT检查,确诊为急性机械性小肠梗阻,罪魁祸首,正是短时间内过量食用胡萝卜丝。
医生告诉他,胡萝卜富含不可溶性膳食纤维,短时间内大量摄入,会在肠道内堆积、吸水膨胀,直接堵住肠腔。如果再晚来几个小时,肠道可能缺血坏死,那就不是灌肠能解决的了。
二、猛吃狂塞,到底会“引爆”哪些病?
不管是夹馍、串串,还是其他大胃王挑战,核心都是比拼“短时间吃最多、最重”,这种极端的饮食方式,都是对肠胃和身体的极致摧残,会诱发多种严重疾病:
1.急性胃扩张

人的胃有一定的容量上限。短时间内塞进远超胃部承受量的食物,胃会被极度撑开,蠕动能力丧失,食物滞留在胃里排不出去。严重时,胃壁会因缺血而坏死、穿孔,引发弥漫性腹膜炎,死亡率极高。
2.肠梗阻

像李先生那样,大量高纤维食物(胡萝卜、海带、芹菜、土豆等)短时间内涌入肠道,会在肠道内堆积、吸水膨胀,形成“食团”堵塞肠腔。肠腔内压力持续升高,肠壁血液循环受阻,可导致肠坏死、穿孔,甚至感染性休克。
3.急性胰腺炎

暴饮暴食会刺激胰腺在短时间内大量分泌消化酶。胰液排出受阻后,会自我消化胰腺组织,诱发急性胰腺炎。该病发病急、病情凶险,典型症状为剧烈上腹痛、恶心呕吐、发烧,重症胰腺炎死亡率极高,是暴饮暴食最凶险的并发症之一。
4. 电解质紊乱
剧烈呕吐、腹泻,或者大量饮水后排尿增多,都会导致体内钾、钠等电解质大量丢失。低钾可致心律失常、心脏骤停;低钠可致脑水肿、意识障碍。这些是“看不见”的杀手,却能在几小时内要命。
三、医生真心提醒:热闹可以凑,身体别“硬拼”
比赛图一乐就行,真没必要拿健康去赌。如果实在要尝鲜,记住这几句实在话:
1.坚决不暴饮暴食,这是保护肠胃最基本的原则。
2.细嚼慢咽,别为了速度狼吞虎咽,给肠胃减负。
3.本身有胃病、肠炎、胰腺炎病史、三高、心脏病的人,更要克制,不要跟风挑战。
4.参加完活动,接下来几天清淡饮食,别连续“造”。
5.出现腹痛、腹胀、恶心呕吐、停止排气排便,立即就医。

西安的菜夹饼大赛、铜川的串串争霸赛,确实给这座城市带来了烟火气和欢乐。那些拼尽全力的“大胃选手”,也很拼、很可爱。
但医学从来不会因为“热闹”就网开一面。
胃只有一只,肠子只有一套。为了一辆电动车、一个冠军名号,不值得拿命去赌。
如果你身边有朋友要去参加类似比赛,把这篇文章转给他。不是扫兴,是真心想让他平平安安地,吃下往后的每一顿饭。