高龄老年人多存在骨质疏松,不慎跌倒骨折后影响行走,长期卧床极易并发肺部感染,如再新冠病毒感染,给治疗带来了巨大挑战。12月初以来,二一五医院骨五科陆续收治了多名骨折合并新冠高龄患者,经全院多科室通力合作,群策群力,精湛的技术和精心的治疗让众多高龄老年患者重新下地行走,快速康复出院。


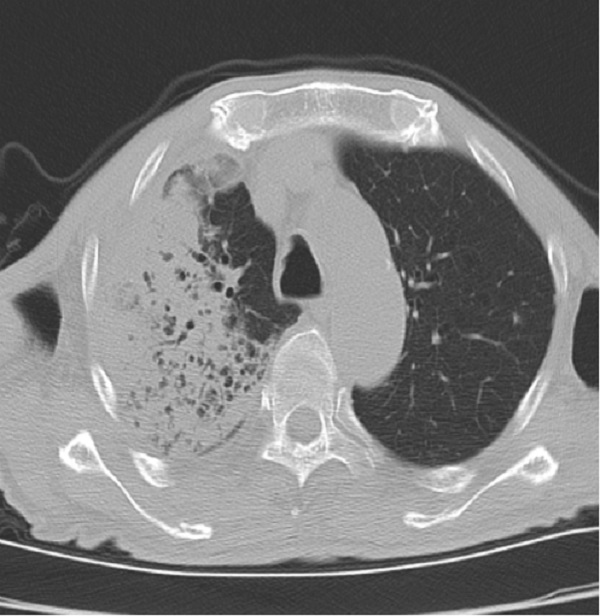
许爷爷今年83岁,不慎摔伤致左髋部疼痛入住二一五医院骨五科,完善检查发现许爷爷新冠病毒检测为阳性,肺部已有感染。由于年事已高,有基础病且合并新冠病毒感染,病情复杂危重,情况非常棘手。骨五科潘建宏主任团队为许爷爷进行了全面细致的病情评估,并请院内相关专家组会诊,制定了有针对性的治疗方案。



入院一周后,肺部感染逐渐得到控制,氧饱和度正常后,潘主任团队为许爷爷进行左侧人工股骨头置换术,手术十分顺利。术后,科室医护人员密切关注老人的神志、呼吸和各项生命体征变化,及时根据病情变化调整治疗方案,并加强肺功能锻炼。术后三天,许爷爷能够在助行器辅助下下床行走,无明显不适,生命体征平稳。在科室医护团队日夜精心的照料下,许爷爷日见好转,说话声音开始响亮,浑身也有了力气,其家属表示深深地感谢,经过半个多月的精心治疗,许爷爷现已康复出院。
新冠肺炎实施“乙类乙管”以来,面对就诊高峰,二一五医院迎难而上,始终贯彻医院“全院一盘棋,全院一张床”原则,积极收治新冠患者,齐心协力做到“应收尽收、应治尽治”,竭尽全力确保了人民群众看病就医需求得到保障。