

2月1日,随着宜威新能源呼市中燃项目托克托县乃同村最后一批空气源采暖设备安装完成,宜威新能源2023年度工程施工任务顺利完成。 2023年,宜威新能源以开展“高质量项目承揽年”为抓手,承揽了一批代表性强、示范性好...

1月30日,河南理工大学鲜保安教授、应急管理部信息研究院王勃教授,中国矿业大学屈争辉教授及合作单位陕西海迎石油工程技术服务有限公司一行6人莅临公司座谈交流。公司领导班子及相关部门负责人参加座谈。 公司党委...

1月30日,由潼关县实施工业倍增计划工作专班办公室召开的“表彰2023年度全县工业企业先进单位”表彰大会上,二二四大队中陕核钼业有限公司获评潼关县2023年度工业倍增工作“突出贡献奖”,钼业公司副总经理刘振川参加...

2024年1月30日下午,公司召开了2023年度技术交流研讨会。本次研讨会旨在共享科研成果,提升专业技术水平,加强内部实践经验交流。公司执行董事刘小兵、总经理张联库及班子成员,连同公司20余名专业技术骨干参加了此次...

1月26日,西安市航天基地统计局召开2023年度统计工作会议。会上表彰了年度统计工作先进单位及先进个人,中陕核宜威新能源有限公司经营管理部部长曹亚莉荣获“统计工作先进个人”荣誉称号。 曹亚莉同志始终坚持习近平...

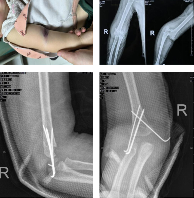
随着微创、麻醉、监护等技术的进步,近日,二一五医院骨科医院小儿骨科·创伤骨科正式开展日间手术,为患者带来了更优质、更便捷的就医体验。从入院、手术、术后恢复仅需24小时。 1月9日下午2点左右,家住乾县,何先生...
