

11月17日,中共中陕核二一四大队有限公司第十一次代表大会在西安机关总部隆重召开,大会听取并审议通过了中共中陕核二一四大队第十届委员会党委工作报告、纪委工作报告,选举产生了公司新一届党委委员和纪委委员。集...

鑫泰苑商业项目位于高陵区渭华路以西,渭环西路以东,陕汽路以北。项目一楼出租面积1543.3平米,二楼出租面积1820.93平米,三楼出租面积2007.96平米,共计5372.19平米,总铺位40个。专业策划运营服务公司通过市场调研...

二一一大队矿产勘查院党支部组织党员认真学习领会党的二十大精神和习近平总书记给山东省地矿局第六地质大队全体地质工作者的回信精神,努力克服新冠疫情、技术人员短缺等不利影响,组织党员技术骨干成立党员先锋队,...

近期,为深入贯彻习近平总书记关于在全党大兴调查研究之风的重要指示精神,认真落实省、市总工会关于开展调查研究工作的有关要求,不断提高系统工会干部的工运理论调研水平,市石化农林工会在本系统开展工运理论调研...

为进一步提高煤矿应急救援处置能力,保障矿井工作安全有序进行,11月14日,陕西省核工业二一五医院走进彬长集团小庄煤矿,为矿区全体职工进行了应急处置和创伤急救培训。 培训采用理论讲授和实践操作相结合,来自二...

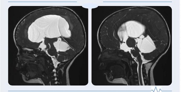
一岁多的赫赫自出生头颅就比同龄小孩大,近半月来进食后出现呕吐、头痛,哭闹不止,在省内多处求医未果,最终慕名来到二一五医院神外重症监护室就诊,行磁共振检查后诊断为“梗阻性脑积水”。 经过严密的术前评估及...
