

3月2日至5日,以“新开局·新思路 助力3060双碳目标”为主题的《沣西能源·2023第十三届中国国际地热高层论坛暨第八届中国地热能展》在陕西宾馆隆重举办,四位中科院院士受邀出席大会并作专题演讲,来自政府部门、行业...

城镇地质灾害风险调查评价项目是贯彻落实习近平生态文明思想,落实“要实施灾害风险调查和重点隐患排查工程,掌握风险隐患底数”讲话精神的具体举措,是陕西省地质灾害综合防治体系建设的重点项目。自项目实施以来,...

无论是生活、工作还是学习中,手都是人们非常重要的器官之一,吃饭穿衣靠它, 劳动休闲用它,就连我们背上的痒痒,也要使唤它去挠挠。也正是因为使用频率高,手部长期暴露于外界,很容易受到外伤,轻则破皮流血,重则...

为认真贯彻落实集团公司“两会”期间安全信访维稳工作会议精神,切实落实各级防范责任和各环节防控措施,确保全国“两会”期间公司的生产安全和内部稳定,3月2日至3日,二一一大队有限公司党委副书记、总经理任斌一行...

颈部是人的第二张“脸”,倘若颈部出现了皱纹或疤痕,往往会让人留下遗憾,对爱美的女性来讲更是如此。 马女士今年40岁,一个多月前,无意间发现自己右侧颈部长有一个鸽子蛋大小的肿块,来到医院检查提示右侧甲状腺约...

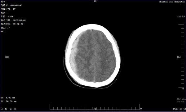
三个月前,26岁的张先生不慎被汽车撞倒,立即陷入昏迷,急诊送入二一五医院救治。入院后CT检查发现,张先生的右侧硬膜下大量出血,诊断为急性右侧硬膜下脑出血伴脑疝形成,病情十分危重。 (入院急诊头颅CT) 对于...
